Skip to content

New Classifications Transform Diagnosis of Rare Blood and Bone Marrow Disorder

Release Date: 02 Oct 2025
New Classifications Transform Diagnosis of Rare Blood and Bone Marrow Disorder

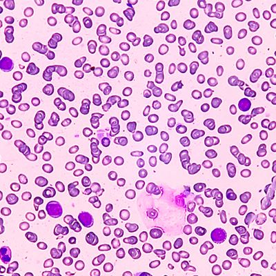
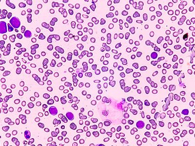
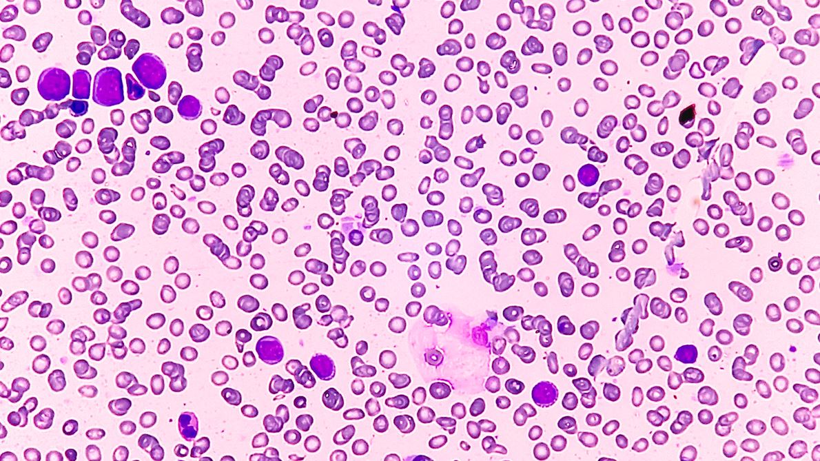
NORTHFIELD, Ill. (September 30, 2025) — Updates to the approach pathologists use to classify myelodysplastic neoplasm (MDS), formally known as myelodysplastic syndrome, are expected to improve treatment decision-making for patients, according to a new publication by the College of American Pathologists (CAP). 

Pathologists on the CAP Personalized Health Care Committee examined the new World Health Organization 5th Edition (WHO5) classification and International Consensus Classification (ICC), together with changes to the Molecular International Prognostic Scoring System (IPSS-M), that redefined MDS by precisely identifying disease subtypes and individual risk. These updates will enable physicians to make more accurate diagnoses and provide personalized treatments.

“By moving beyond morphology and incorporating genetics into both classification and prognosis, we are entering an era of truly personalized medicine for MDS,” said Chung-Che Chang, MD, PhD, FCAP, member of the CAP personalized health care committee “These changes will directly impact how we diagnose patients, counsel them on risk, and select appropriate therapies.”

Key Updates

  • Genetically defined subtypes: TP53-mutated, SF3B1-mutated, and del(5q) MDS now formally recognized.
  • Different approaches: WHO5 requires dysplasia, while ICC allows certain genetic lesions to define MDS without it.
  • Risk stratification advances: The IPSS-M integrates molecular and clinical data, outperforming prior scoring systems and refining treatment pathways.
  • Future direction: Emerging molecular taxonomy will supplement morphology-based diagnosis systems.

“For the first time, MDS classification emphasizes genetic alterations as defining features of the disease, marking a major step toward precision medicine,” said Dr. Chang. “These updates provide clearer diagnostic categories, improve prognostic accuracy through the new IPSS-M model, and directly guide treatment decisions. They also signal a significant practice change, as routine next-generation sequencing will now be essential for accurate diagnosis and risk stratification.”

###

About the College of American Pathologists  

As the world’s largest organization of board-certified pathologists and leading provider of laboratory accreditation and proficiency testing programs, the College of American Pathologists (CAP) serves patients, pathologists, and the public by fostering and advocating excellence in the practice of pathology and laboratory medicine worldwide. For more information, visit the CAP Newsroom,CAP.org and yourpathologist.org to watch pathologists at work and see the stories of the patients who trust them with their care. 

adding all to cart
False 0
File added to media cart.