Skip to content

New classifications transform diagnosis of rare blood and bone marrow disorder, CAP says

Release Date: 08 Oct 2025 MLO
68 675 7 70 21775

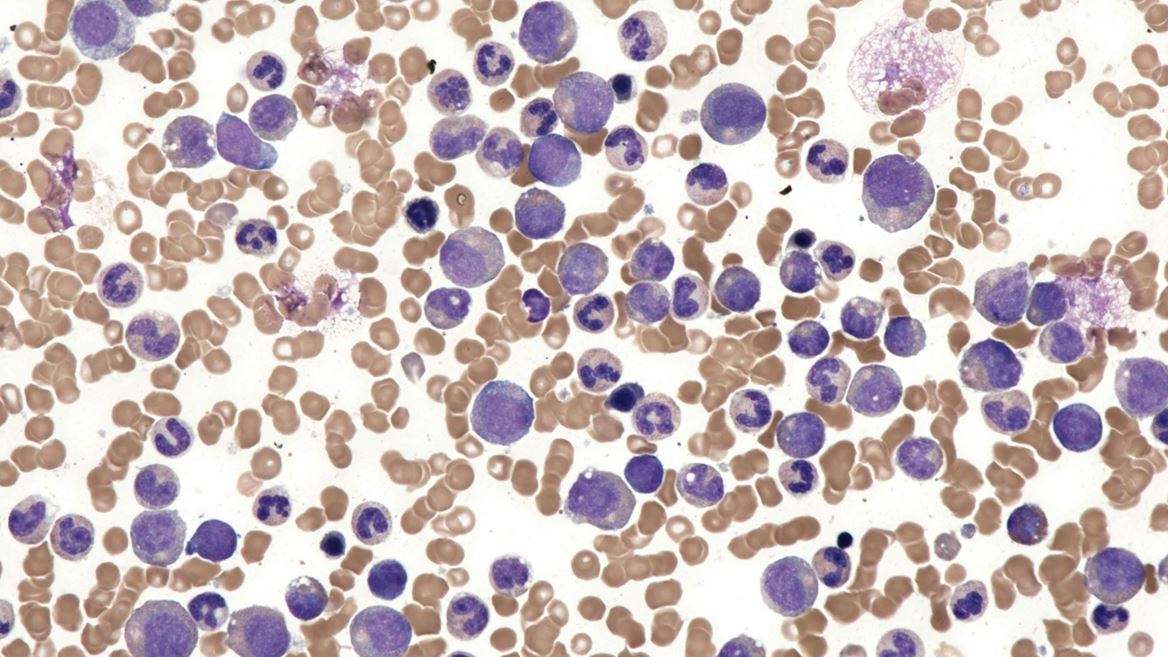
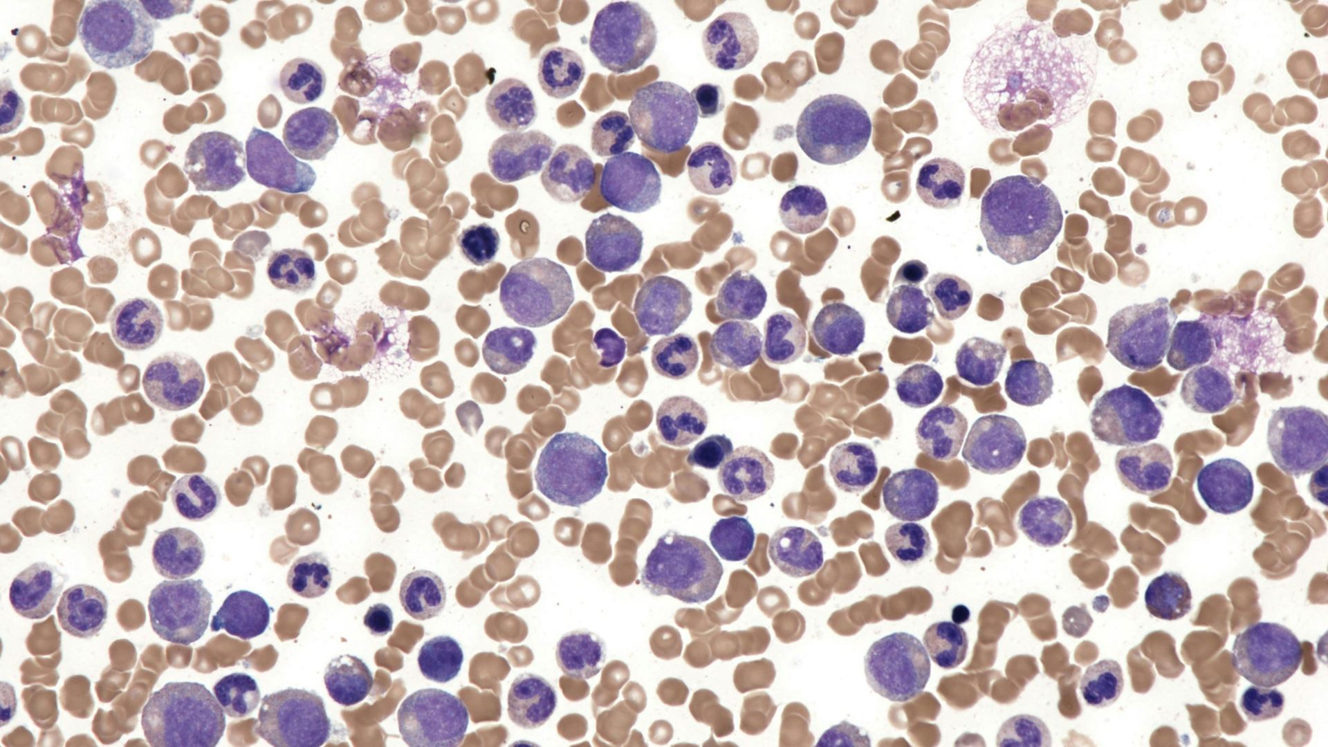
Updates to the approach pathologists use to classify myelodysplastic neoplasm (MDS), formally known as myelodysplastic syndrome, are expected to improve treatment decision-making for patients, according to a new publication by the College of American Pathologists (CAP).

For the full article click here: New classifications transform diagnosis of rare blood and bone marrow disorder, CAP says

adding all to cart
False 0
File added to media cart.