Skip to content

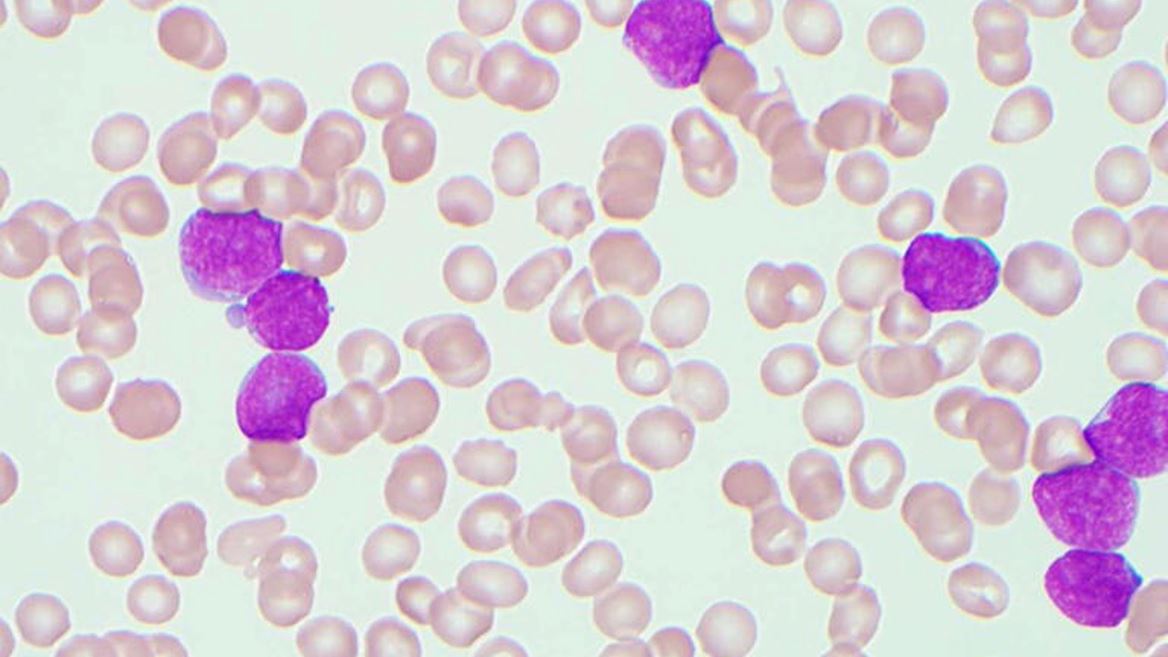
Team discovers how to target 'undruggable' protein that fuels aggressive leukemia

Release Date: 10 Dec 2025 MSN
aa1s1p

Dinesh Rao, MD, PhD, FCAP, discusses how researchers have identified a small molecule that can inhibit a cancer-driving protein long considered impossible to target with drugs. "We discovered IGF2BP3 years ago as an important driver in acute leukemias, and for a long time there were no tools to target it. To finally show that we can inhibit this protein and disrupt its function in cancer cells is incredibly exciting," said Dr. Rao.

For the full article click here: Team discovers how to target 'undruggable' protein that fuels aggressive leukemia.

adding all to cart
False 0
File added to media cart.